Nowe fakty o mózgu psychopatów. Odkryto wyraźne różnice biologiczne
Badania przeprowadzone na uniwersytetach w Singapurze, USA i Kalifornii ujawniły, że powiększone prążkowie w mózgu może być powiązane z występowaniem cech psychopatycznych. Odkrycie to zostało potwierdzone zarówno u mężczyzn, jak i u kobiet, i stanowi przełom w rozumieniu biologicznych podstaw psychopatii. Zespół liczy, że kolejne badania pozwolą lepiej poznać przyczyny rozwoju tego zjawiska.

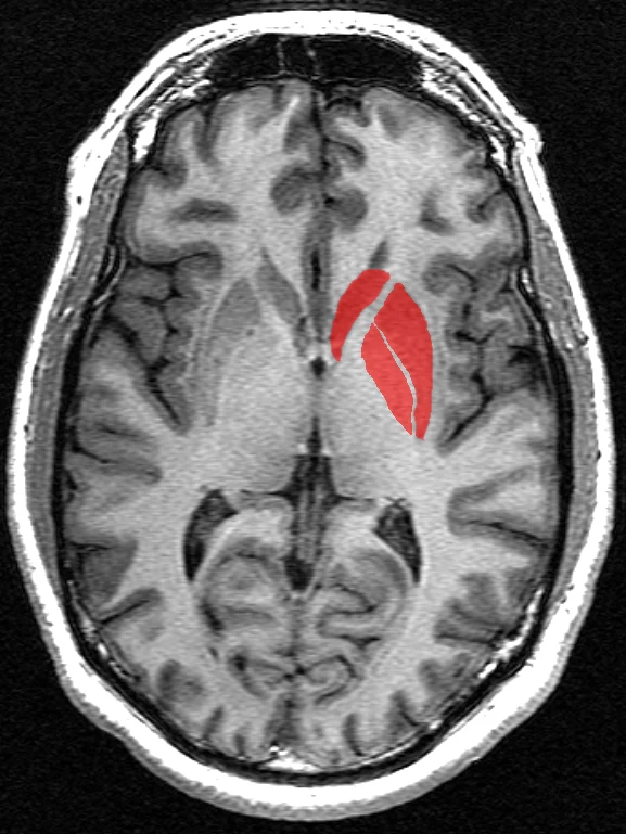
Różnice w budowie mózgu u osób z psychopatią
Psychopaci, czyli osoby wykazujące cechy psychopatyczne, charakteryzują się połączeniem egocentryzmu, chłodu emocjonalnego oraz braku empatii i skruchy. W niektórych przypadkach cechom tym towarzyszą zachowania antyspołeczne lub przestępcze, a także agresywne i impulsywne.
Nowe badanie wykazało, że psychopaci mają o 10 proc. większe prążkowie w mózgu niż przeciętne osoby. Sugeruje to biologiczne różnice w budowie mózgu i powiązane jest z impulsywnością i większym pragnieniem stymulacji. Występuje zarówno u kobiet, jak i mężczyzn.
Zespół neurobiologów z Nanyang Technological University (NTU Singapore), University of Pennsylvania i California State University odkrył biologiczną różnicę między psychopatami a osobami niebędącymi nimi. Wykorzystali do tego rezonans magnetyczny, aby zaobserwować, że prążkowie, czyli obszar w przedmózgowiu, było o około 10 proc. większe u osób z cechami psychopatycznymi.
Prążkowie odpowiada za motywację, podejmowanie decyzji i przetwarzanie nagród, a także pomaga koordynować działania motoryczne i odgrywa rolę w planowaniu i reagowaniu na bodźce.
Już wcześniejsze badania sugerowały to powiązanie, jednak nie zostało ono potwierdzone. Teraz dostarczono dowodów na mierzalne biologiczne rozróżnienie między osobami z tendencjami psychopatycznymi i bez nich.
Wyniki badań pomogą lepiej zrozumieć zachowania antyspołeczne
Naukowcy chcieli lepiej zrozumieć te czynniki biologiczne, więc przeanalizowali skany rezonansu magnetycznego 120 dorosłych osób w Stanach Zjednoczonych. Każda z nich musiała także zostać poddana ocenie Psychopathy Checklist-Revised, czyli standardowego narzędzia do identyfikacji cech psychopatycznych. Wśród uczestników zidentyfikowano 12 kobiet, po raz pierwszy dowodząc, że powiększone prążkowie jest związane z takimi cechami zarówno u mężczyzn, jak i kobiet.

- Wykorzystanie Psychopathy Checklist-Revised w próbie społecznej pozostaje nowatorskim podejściem naukowym: pomaga nam zrozumieć cechy psychopatyczne u osób, które nie przebywają w więzieniach, lecz u tych, którzy chodzą wśród nas każdego dnia - powiedział współautor badania, prof. Robert Schug.
Odkrycie to może prowadzić do lepszego zrozumienia i interwencji w przypadku zachowań antyspołecznych. Zespół badawczy zamierza kontynuować dochodzenie w sprawie przyczyn, dla których u niektórych osób rozwija się poszerzenie prążkowia i jak przyczynia się to do rozwoju cech psychopatycznych.
- Wyniki naszego badania pomagają nam poszerzyć wiedzę na temat tego, co leży u podstaw zachowań antyspołecznych, takich jak psychopatia - tłumaczyła współautorka badania, Olivia Choy. - Odkryliśmy, że oprócz społecznych wpływów środowiskowych, ważne jest uwzględnienie różnic biologicznych, w tym przypadku w wielkości struktur mózgowych, między osobami antyspołecznymi i nieantyspołecznymi.










