Pierwszy taki zabieg w Instytucie Kardiologii w Warszawie
Warszawscy lekarze przeprowadzili pionierski małoinwazyjny zabieg kardiochirurgiczny, który może być powszechnie stosowany u pacjentów z przeciwwskazaniami do operacji na otwartym sercu. To może ocalić życie tysiącom osób w Polsce.

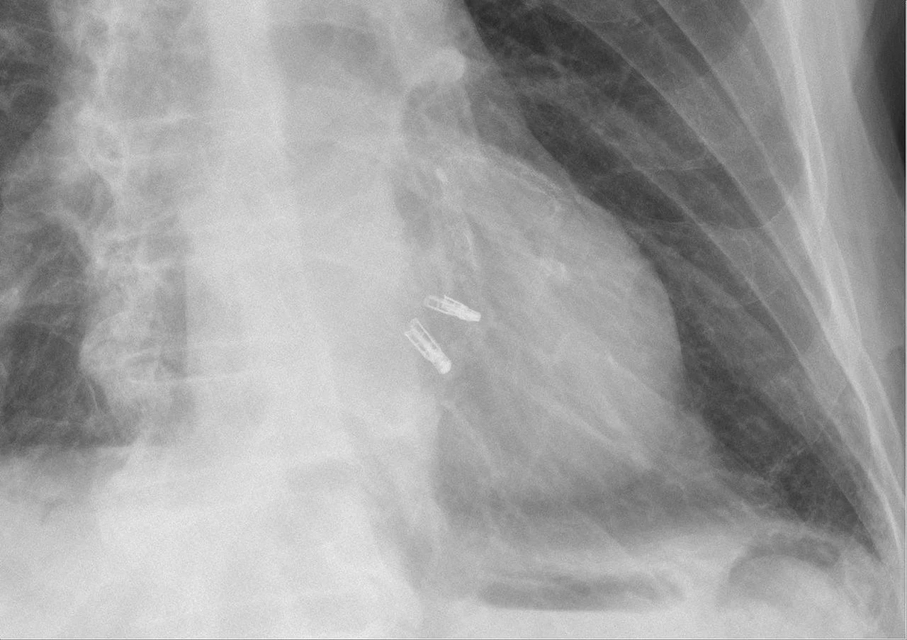
Lekarze z Instytutu Kardiologii w Warszawie wykonali zabieg założenia zapinek MitraClip na płatki zastawki mitralnej (jedna z zastawek serca) z wykorzystaniem echonawigacji.
MitraClip to małoinwazyjna metoda leczenia niedomykalności zastawki mitralnej, która jest stosowana u osób niemogących poddać się standardowej operacji chirurgicznej na otwartym sercu. Po raz pierwszy zastosowano ją w 2003 r., a w Polsce w 2010 r. Warto wspomnieć, że pomimo iż metoda MitraClip jest metodą małoinwazyjną, wymaga znieczulenia ogólnego i ścisłej współpracy licznych specjalistów: kardiologa inwazyjnego, echokardiografisty, anestezjologa i kardiochirurga.
Zabieg założenia zapinek MitraClip na płatki zastawki mitralnej został przeprowadzony u pacjenta z dużą funkcjonalną niedomykalnością zastawki mitralnej. Zabieg wykonano z zastosowaniem systemu echonawigacji, czyli pełnej integracji angiografu Azurion z USG, który ułatwia orientację przestrzenną w sercu i daje kardiologowi interwencyjnemu możliwość bardziej precyzyjnego wykonania zabiegu.
- Przy pomocy echonawigacji możemy precyzyjniej nakłuć przegrodę międzyprzedsionkową i założyć zapinki na płatki zastawki mitralnej. Mamy nadzieję, że w związku z tym w większym stopniu uda nam się zredukować falę zwrotną przez zastawkę mitralną. Kardiolodzy interwencyjni są przyzwyczajeni do wykonywania zabiegów, kierując się właśnie obrazem angiografii, ale w wadach strukturalnych serca nie można się kierować tylko obrazem angiograficznym, obrazem ze skopii rentgenowskej. Musi być to wspomagane echem. I właśnie echonawigacja daje wspólny obraz złożony z angiografii ze skopii rentgenowskiej z jednej strony, a z drugiej z obrazu echokardiograficznego. To zdecydowanie ułatwia kontrolę w trakcie zabiegu i ułatwia jego wykonanie - powiedział prof. dr hab. med. Adam Witkowski, kierownik Kliniki Kardiologii i Angiologii Interwencyjnej Instytutu Kardiologii w Warszawie, Prezes-elekt Polskiego Towarzystwa Kardiologicznego.
Echonawigacja polega na łączeniu funkcji obrazowania TEE i RTG w czasie rzeczywistym, co umożliwia intuicyjne i szybsze prowadzenie przyrządów w objętości 3D.
- Wykorzystywanie echonawigacji przyczyni się również do mniejszej ilości używanego kontrastu, co jest szczególnie ważne w przypadku pacjentów z niewydolnością nerek. Dużo starszych osób czy pacjentów z niewydolnością serca ma także niewydolność nerek, więc im mniej kontrastu tym lepiej. Echonawigacja jest też przydatna w zabiegu zamykania uszka lewego przedsionka jako prewencji udaru mózgu u pacjentów z migotaniem przedsionków. Dotychczas operator miał przed sobą dwa ekrany, na które musiał patrzeć osobno. Echonawigacja może być także ważnym narzędziem ułatwiającym zamykanie przecieków okołozastawkowych występujących u niektórych pacjentów po wszczepieniu sztucznych zastawek serca - dodał prof. Adam Witkowski.
Zabieg w Instytucie Kardiologii przeprowadzili: prof. Zbigniew Chmielak, dr hab. med. Jerzy Pręgowski, echonawigację w trakcie zabiegu wykonał prof. Piotr Szymański. Przebieg zabiegu śledzili na żywo uczestnicy XXII Warsztatów Kardiologii Interwencyjnej WCCI 2018 - Warsaw Course on Cardiovascular Interventions.







