odra
(Choroba zakaźna.)- Wszystkie (14)
- Wiadomości (14)
Wiadomości (14)
-
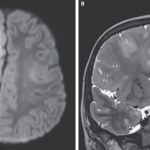
Tak wygląda mózg zniszczony przez odrę. A wystarczyło szczepienie
- Wtorek, 24 lutego (20:47)
Przez lata odra była w USA chorobą praktycznie zapomnianą, bo po wprowadzeniu powszechnych szczepień w 2000 roku praktycznie ją wyeliminowano. W konsekwencji nasilania się nastrojów...odra -
Epidemia odry w Karolinie Południowej nabiera tempa. Jest też ognisko w Polsce
- Piątek, 12 grudnia 2025 (07:41)
-
Groźna choroba wróciła. Może dosłownie "wymazać" odporność
- Piątek, 18 lipca 2025 (13:44)
Wprowadzenie obowiązkowego szczepienia przeciwko odrze spowodowało, że od 1997 roku zachorowania w Europie zdarzały się sporadycznie, ale sytuacja zmieniła się po ustąpieniu pandemii...odra -
Cesarskie cięcie jednak "gorsze"? Zmienia reakcję organizmu na szczepienia
- Sobota, 18 maja 2024 (19:30)
-
Odra szaleje. Gwałtowny wzrost liczby przypadków, w Europie nawet 45-krotny
- Czwartek, 1 lutego 2024 (15:29)




