Lekarze ostrzegają przed gruźlicą. Pierwszy wzrost przypadków od dekad
Światowa Organizacja Zdrowia ostrzega, że pandemia COVID-19 zagroziła poczynionym w ostatnich latach postępom w walce z różnymi chorobami, a jedną z nich jest gruźlica. Jak się właśnie dowiadujemy, po raz pierwszy od dziesięcioleci obserwujemy w Europie wzrost przypadków zachorowań.

Według nowego raportu nadzoru WHO i Europejskiego Centrum ds. Zapobiegania i Kontroli Chorób, w 2021 roku z powodu gruźlicy zmarło na Starym Kontynencie 27 300 osób, podczas gdy w roku poprzedzającym było to 27 000 osób. Szacuje się, że wskaźnik nowych przypadków i nawrotów w regionie wzrósł o 1,2 proc. w porównaniu z 2020 rokiem, co oznacza pierwszy od ponad dwudziestu lat wzrost przypadków zachorowań i zgonów z powodu tej choroby i zagrożenie dla "niezwykłych postępów" poczynionych w powstrzymywaniu infekcji w Europie od 2015 roku.
Lekarze obawiają się gruźlicy. Pierwszy wzrost zachorowań od dekad
Zdaniem ekspertów jedną z przyczyn takiego stanu rzeczy jest pandemia koronawirusa, która negatywnie wpłynęła na wypracowane przez lata standardy zapobiegania i leczenia gruźlicy. Jak twierdzą, przekierowanie zasobów do walki z gruźlicą na walkę z koronawirusem w 2020 r. i trudności, jakich doświadczyli i wciąż doświadczają pacjenci w dostępie do usług, mogły skutkować opóźnieniami w diagnozowaniu i ograniczeniem śledzenia kontaktów, co doprowadziło z kolei do zaostrzenia przebiegu choroby i wzrostu transmisji.
Gruźlica pozostaje zagrożeniem dla niektórych najbardziej narażonych osób w naszym społeczeństwie, a te dane pokazują, że postęp w kierunku eliminacji utknął w martwym punkcie
Tym samym "gruźlicowy" cel Organizacji Narodów Zjednoczonych, czyli 80 proc. redukcja nowych przypadków w latach 2015-2030, będzie bardzo trudny do osiągnięcia, jeśli nie podejmiemy natychmiastowych środków zaradczych.
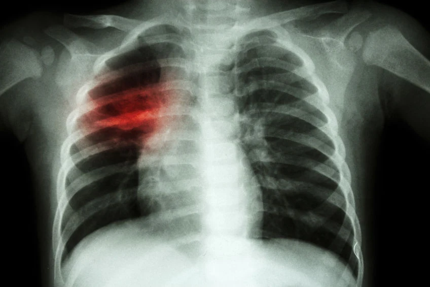
Gruźlica. Co to za choroba i kto jest najbardziej zagrożony?
Gruźlica to potencjalnie śmiertelna choroba zakaźna wywoływana przez prątka gruźlicy (Mycobacterium tuberculosis), która dotyka najczęściej płuc (szacuje się, że gruźlica pozapłucna stanowi zaledwie 8,8 proc. wszystkich przypadków), więc do większości zakażeń dochodzi drogą kropelkową. Do wywołania choroby potrzebna jest też stosunkowo duża ilość prątków, więc znacznie ma tu długość i bliskość kontaktu z chorym, a także wentylacja pomieszczenia.
Co więcej, tylko u 2-3 proc. osób zakażonych rozwinie się choroba objawowa, a u pozostałych prątki pozostaną w stanie latentnym - niemniej średnio jeden na dziesięć takich przypadków ulega z czasem aktywacji i nieleczony prowadzi do śmierci niemal połowy chorych.
Warto jednak pamiętać, że istnieją czynnik ryzyka i zwiększone ryzyko dotyczy m.in. chorych na AIDS, narkomanów, alkoholików, osób z osłabioną odpornością zależną od limfocytów T, osób bezdomnych i niedożywionych czy osób po 65 roku życia.
Gruźlica. Objawy i leczenie
A jakie objawy powinny zwrócić naszą uwagę? Uporczywy kaszel, który trwa dłużej niż trzy tygodnie i zwykle powoduje odkrztuszanie flegmy (także krwawej), pogarszające się duszności, brak apetytu i utrata masy ciała, wysoka temperatura, nocne poty oraz skrajne zmęczenie lub znużenie. Same w sobie nie są wystarczające do postawienia diagnozy, ale powinny skłonić do szukania pomocy lekarskiej i dalszej diagnostyki (diagnostyka mikrobiologiczna).
Podstawową metodą leczenia gruźlicy jest długotrwałe stosowanie leków przeciwgruźliczych i przeciwzapalnych, które jeśli rozpoczęte we wczesnej fazie choroby i prowadzone zgodnie z zaleceniami doprowadza do wyleczenia ok. 90 proc. chorych.










