Wyniki z 21 krajów: Rzadkie schorzenie powiązane z COVID-19
Naukowcy oficjalnie powiązali COVID-19 z rzadkim stanem neurologicznym. Mowa o ostrym poprzecznym zapaleniu rdzenia kręgowego (ATM).

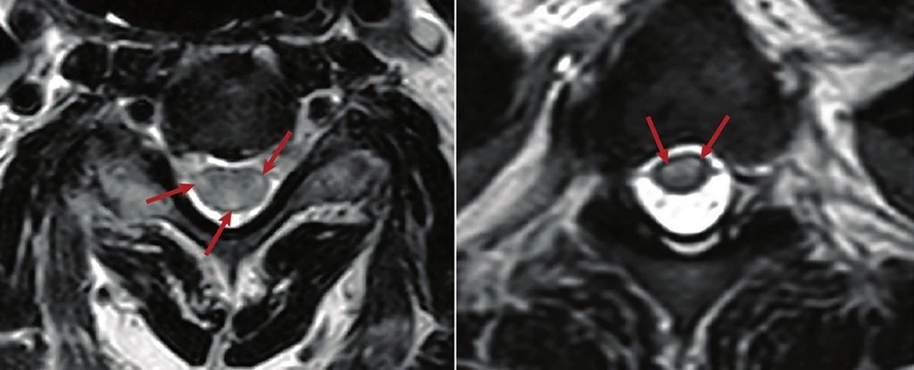
Ostre poprzeczne zapalenie rdzenia kręgowego (ATM) to zapalenie rdzenia kręgowego, które może powodować ból, paraliż i problemy sensoryczne. Zostało ono zidentyfikowane u 43 dorosłych z COVID-19 w 21 krajach, z wiekiem pacjentów od 21 do 73 lat, a także u trojga dzieci, w wieku od 3 do 14 lat.
Rocznie częstość występowania ATM szacuje się na zaledwie 1,34-4,6 przypadków na milion osób. Dla porównania, w ciągu ostatnich 10 miesięcy, częstość występowania ATM wśród samych pacjentów z COVID-19 wyniosła ok. 0,5 na milion, co stanowiło dla uczonych sygnał alarmowy."Stwierdziliśmy, że ATM jest niespodziewanie częstym neurologicznym powikłaniem COVID-19. Większość przypadków (68 proc.) miała latencję od 10 dni do 6 tygodni, co może wskazywać na poinfekcyjne powikłania neurologiczne, w których pośredniczy odpowiedź gospodarza na wirusa" - czytamy w badaniu koordynowanym przez Neurological Institute w Houston Methodist Hospital.Już wcześniej stwierdzono, że COVID-19 wywołuje liczne problemy związane z układem nerwowym, m.in. utrzymujący się efekt "mgły mózgowej". W 43 potwierdzonych przypadkach ATM stwierdzono, że uszkodzenia rdzenia kręgowego prowadzą do czterokończynowego porażenia mózgowego i paraplegii, m.in. z utratą kontroli nad pęcherzem. Wszystkie badane przypadki zarejestrowano między marcem 2020 r. a stycznie 2021 r."Ten przegląd potwierdza, że ATM nie jest rzadkością jako powikłanie neurologiczne związane z infekcją COVID-19 na całym świecie, odpowiedzialne być może za 1,2 proc. wszystkich powikłań neurologicznych spowodowanych przez koronawirusa" - czytamy w raporcie.ATM jest stanem uwarunkowanym immunologicznie, więc istnieją pewne potencjalne mechanizmy odpornościowe, które mogłyby wyjaśnić, w jaki sposób SARS-CoV-2 może prowadzić do ATM. Ponadto, naukowcy zauważyli również, że trzy przypadki ATM wystąpiły w badaniach szczepionki AstraZeneca. Chociaż każdy z nich był osobno analizowany, mogą one dostarczyć wskazówek co do zaangażowanych mechanizmów immunologicznych."Patogeneza ATM pozostaje nieznana, ale można przypuszczać, że antygeny SARS-CoV-2, być może obecne również w szczepionce AZD1222 COVID-19 lub jej adiuwancie z adenowirusem szympansa, mogą indukować mechanizmy immunologiczne prowadzące do zapalenia rdzenia" - wynika z raportu.Wyniki zostały opublikowane we "Frontiers in Immunology".







