Przejdź na stronę główną INTERIA.PLGeekweek w INTERIA.PL - technologie, nauka, lifestyle i podróże
  1. Technologia
    1. Gadżety
    2. Bezpieczeństwo
    3. Militaria
    4. Mobile
    5. Transport
    6. PC
    7. Akcesoria
    8. Internet
    9. Testy
    10. Streaming
    11. Sztuczna Inteligencja
    12. Marki i Produkty
  2. Nauka
    1. Kosmos
    2. Ekotechnologia
    3. Medycyna
    4. Meteorologia
    5. Technauka
    6. Historia
    7. Przyroda
  3. Lifestyle
    1. Filmy
    2. Podróże
    3. Sport
    4. Styl Życia
    5. Sztuka
    6. Żywność
  4. GeekExtra
    1. Galerie
  5. Quizy
  6. Raporty
    1. Technologia
    2. Gadżety
    3. Bezpieczeństwo
    4. Militaria
    5. Mobile
    6. Transport
    7. PC
    8. Akcesoria
    9. Internet
    10. Testy
    11. Streaming
    12. Sztuczna Inteligencja
    13. Marki i Produkty
    14. Nauka
    15. Kosmos
    16. Ekotechnologia
    17. Medycyna
    18. Meteorologia
    19. Technauka
    20. Historia
    21. Przyroda
    22. Lifestyle
    23. Filmy
    24. Podróże
    25. Sport
    26. Styl Życia
    27. Sztuka
    28. Żywność
    29. GeekExtra
    30. Galerie
    31. Quizy
    32. Raporty
  1. Interia
  2. geekweek
  3. Technauka

Technauka


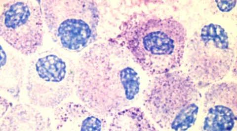
Tak wyglądają mastocyty
GeekExtra

Mastocytoza - trudna do zdiagnozowania choroba nowotworowa

Mysli mózg po leczeniu (po lewej) i bez (po prawej)
GeekExtra

Nowy sposób walki z chorobą Alzheimera?

Muzyka na siłowni jest ważna - ale nie klasyczna
GeekExtra

Szybka muzyka ułatwia ćwiczenia fizyczne

Terapia fotodynamiczna umożliwia namiastkę widzenia w ciemnościach
GeekExtra

Nietypowy efekt uboczny terapii antynowotworowej

Brytyjczycy udostępnią wszystkie swoje materiały dotyczące UFO
GeekExtra

Brytyjski rząd ujawni prawdę o UFO

Drewniany idol Pachacamac
Technauka

Drewniany inkaski idol nie został pomalowany krwią



Historyczny moment wiązania między atomami
Technauka

Naukowcom udało się po raz pierwszy sfilmować wiązanie między atomami

To szokujące, ale niedopałki papierosów też emitują szkodliwe substancje
GeekExtra

Niedopałki papierosów też trują

To nie Demogorgon, a Raja eglanteria
GeekExtra

Tajemnicze stworzenie złowione w Nowym Jorku

Drzewo użyte do budowy ten studzienki zostało ścięte 7275 lat temu
Technauka

Odkryto najstarszą drewnianą konstrukcję na świecie

Czy ziemskie oceany mogłyby wyparować? Fot. NASA
GeekExtra

Jak wyglądałaby Ziemia bez oceanów

Nymphargus bejaranoi
GeekExtra

Niezwykła żaba szklana dostrzeżona po raz pierwszy od 18 lat

Wizja artystyczna robomeduzy stworzonej przez naukowców z Caltech
Technauka

Robomeduza, która pomoże dbać o oceany

Fragment Curious Marie z meteorytu Allende
GeekExtra

Meteoryt starszy niż Układ Słoneczny

Szczątki rekinów nie są powszechne w Kentucky - tu jeden ze współczesnych gatunków: żarłacz biały
GeekExtra

Szczątki rekinów sprzed 330 mln lat

Aksolotl meksykański
GeekExtra

Tajemnice regeneracji aksolotli powoli odkrywane

Zarodniki grzybów są wszędzie - nawet w powietrzu
GeekExtra

Nanocząstki grzybów unoszą się w atmosferze i wywołują alergie

Araniella villanii - jego wielką "bronią" są bardzo precyzyjnie zbudowane sieci
GeekExtra

Nowo odkryty pająk buduje niezwykle skomplikowane sieci

Pierwsze zdjęcie Słońca uzyskane przez Inouye Solar Telescope
GeekExtra

Najdokładniejsze zdjęcie Słońca w historii

Naddiagnoza nowotworów jest równie szkodliwa, co jej brak
GeekExtra

Niektóre nowotwory są diagnozowane niepotrzebnie

Tak prezentują się zorze wydmowe
GeekExtra

W Finlandii odkryto nowy rodzaj zórz polarnych

Takabuti
Technauka

Odkryto tajemnice mumii sprzed 2600 lat

Już wkrótce zbudujemy osadę na Księżycu
GeekExtra

Tlen z księżycowej gleby? To możliwe

KELT-9b
GeekExtra

Planeta gorętsza niż wiele gwiazd

Ślad pozostawiony przez zauropoda
GeekExtra

Tajemnicze ślady zauropodów, największych zwierząt Ziemi

Zespół odpowiedzialny za rozwój humanoidalnego robota / fot. ISRO
Technauka

Indie wyślą humanoidalnego robota w kosmos

Microsoft wspiera rozwój edukacji
Technauka

Jak będzie wyglądała szkoła za 20 lat?

Hipernowe, a nie supernowe są najjaśniejszymi eksplozjami we Wszechświecie
GeekExtra

Kosmiczne fajerwerki to wynik zderzenia gwiazd w układzie podwójnym?

Jak opanować białaczkę?
GeekExtra

Ostra białaczka szpikowa - niewydolność szpiku, nieleczona zagraża życiu

Prezydent Donald Trump jest fanem Elona Muska (zdjęcie z 2017 roku)
Technauka

Donald Trump twierdzi, że Elon Musk to geniusz

Wizja artystyczna struktury Enceladusa
GeekExtra

Enceladus jest idealny dla życia

Rolls-Royce stawia na wizję minireaktorów jądrowych
Technauka

Rolls-Royce będzie budował minireaktory jądrowe - to przyszłość energetyki?

Czy istnieją sygnały nerwowe, które występują tylko u ludzi?
GeekExtra

Odkryto nowy rodzaj sygnałów nerwowych - występują tylko u ludzi?

Bakterie mogą tworzyć przeróżne wzory
Technauka

Bakterie mogą tworzyć wzory przypominające kwiaty

SpaceX
Technauka

Pierwsza załogowa misja SpaceX jeszcze 2020 roku

Yarrabubba - najstarszy krater uderzeniowy na Ziemi
Technauka

Odkryto najstarszy krater uderzeniowy na Ziemi

Na świecie jest wiele nieznanych nauce wirusów - wiele skrywa się w lodowcach
Technauka

Topniejące lodowce ujawniły 28 nieznanych wirusów

Pigułka zamiast aktywności fizycznej? Kiedyś to może być realne
GeekExtra

Odkryto białka, które imitują efekty ćwiczeń fizycznych

  • Poprzednia
  • 1
  • 41
  • 42
  • 43
  • 44
  • 45
  • 100
  • Następna



Napisz do nas
Newsroom
RSS
W komórce
Reklama
Redakcja
Korzystanie z portalu oznacza akceptację Regulaminu oraz Polityki prywatności. Ustawienia preferencji. Copyright by INTERIA.PL 1999-2026. Wszystkie prawa zastrzeżone.