Tajemnicza choroba - pacjentom dosłownie znikają kości
Lekarze byli zdumieni, gdy odkryli, że kości pewnej kobiety po prostu "znikają".

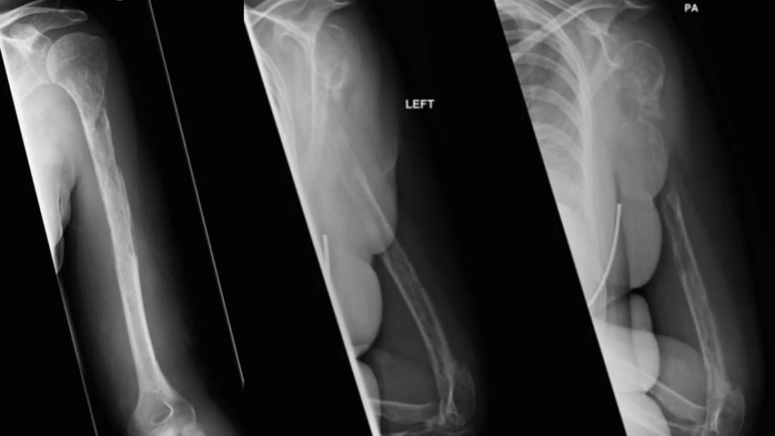
Kiedy pewna 44-letnia Szkotka odwiedziła lekarza z dolegliwościami bólowymi i brakiem możliwości ruchu lewego ramienia, nie wiadome było co jej jest. Zdjęcie rentgenowskie wykazało uszkodzenie kości ramiennej, które normalnie byłoby oznaką nowotworu, ale wyniki biopsji wykluczyły taką ewentualność. Dopiero 18 miesięcy później lekarze dokonali zaskakującego odkrycia o defragmentacji jej kości.U kobiety zdiagnozowano niezwykle rzadką chorobę Gorhama-Stouta (GSD) zwaną także "chorobą zanikających kości", w której pacjent stopniowo traci masę kostną. Przyczyny choroby i jej potencjalne leczenie są zagadką dla współczesnej medycyny. W wyniku osteolizy i nadmiernej proliferacji naczyń limfatycznych, kość jest progresywnie niszczona, gdyż wchłaniane są komórki ją budujące. Początkowo obraz choroby przypomina niejednolitą osteoporozę. Z biegiem czasu deformacje kostne są coraz bardziej widoczne, co utrudnia normalne funkcjonowanie.Medycyna do tej pory zna zaledwie 64 przypadki choroby Gorhama-Stouta, przy czym zaledwie osiem dotyczyło kości ramiennej. Pierwszy przypadek GSD zaobserwowano w 1838 r. Z powodu swojej rzadkości, choroba jest trudna do zdiagnozowania, a prognozy dotyczące stanu zdrowia nieprzewidywalne. Nie ma na nią lekarstwa. Działania podejmowane przez lekarzy mają na celu usuwanie niszczonych kości i podawanie bisfosfonianów, które zapobiegają utracie masy kostnej.Choroba Gorhama-Stouta może dotknąć jedną lub wiele kości na raz, w tym ramiona, nogi, szczękę czy miednicę. Gdy choroba dotknie kręgosłup lub podstawę czaszki, może doprowadzić do paraliżu. W niektórych przypadkach dochodzi do uszkodzenia klatki piersiowej, co może okazać się śmiertelne. Co najciekawsze, w niektórych przypadkach choroba spontanicznie znika równie szybko, jak się pojawiła. Rokowania pacjentki ze Szkocji nie są znane.







