Udar mózgu udarowi nierówny. Jest pomysł jak je odróżniać
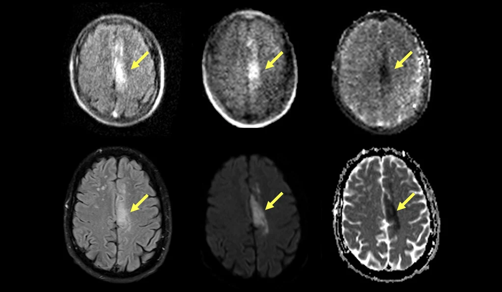
Przenośne aparaty MRI to zupełnie nowa technologia, która umożliwia obrazowanie medyczne nawet w odległych miejscach. Badania przeprowadzone przez naukowców z Uniwersytetu Yale i Harvarda wykazały, że tego typu aparaty pozwalają na wykrycie udaru niedokrwiennego lub udaru spowodowanego zakrzepem u 90 proc. skanowanych pacjentów.

Wcześniejsze badania wykazały, że przenośne urządzenia MRI mogą również wykrywać udary spowodowane krwawieniem w mózgu, które różnią się od udarów spowodowanych zakrzepami w mózgu. Zdolność przenośnych aparatów MRI do rozróżniania tych dwóch rodzajów udaru pomoże lekarzom szybko podejmować kluczowe decyzje dotyczące leczenia ratującego życie pacjentów w odległych rejonach, którzy nie mają dostępu do dużych szpitali wyposażonych w drogie stacjonarne aparaty MRI.
- Jest to pierwszy systematyczny dowód na to, że można wykrywać udary niedokrwienne mózgu za pomocą przenośnych, przyłóżkowych urządzeń - powiedział prof. Kevin Sheth z Yale School of Medicine.
Szybsze badanie, szybsza diagnoza
Wyniki pacjentów z udarem znacznie się poprawiają, im szybciej otrzymują oni leczenie. Jednak dostęp do stacjonarnych aparatów MRI jest ograniczony dla osób mieszkających z dala od dużych szpitali lub w krajach rozwijających się. A nawet pacjenci z udarem, którzy mają dostęp do dużych szpitali, często muszą czekać na skanowanie przy użyciu stacjonarnego rezonansu magnetycznego ze względu na duże zapotrzebowanie na ten sprzęt. Przenośne skanery mogą być stosowane przy łóżku pacjenta lub w karetkach pogotowia.
Szybkie rozróżnienie różnych typów udaru ma kluczowe znaczenie dla określenia właściwego leczenia, twierdzą naukowcy. Udary niedokrwienne są zwykle leczone lekami rozrzedzającymi krew. Ale ten sposób leczenia jest niebezpieczny dla tych, którzy doznają udaru krwotocznego lub udaru, w którym dochodzi do krwawienia w mózgu.
Naukowcy z Yale i Harvardu stwierdzili, że wyniki w dużej mierze potwierdzają diagnozy udaru niedokrwiennego postawione przez stacjonarne MRI. U 45 z tych pacjentów przenośny rezonans magnetyczny wykrył skrzepy krwi o wielkości zaledwie 4 mm. Prof. Sheth i jego zespół otrzymali fundusze od NIH na przeprowadzenie szeroko zakrojonych badań nad wykorzystaniem przenośnego rezonansu magnetycznego w różnych warunkach.









